
Here at Lisle Dental Specialists, we are dedicated to providing the best care for our patients.
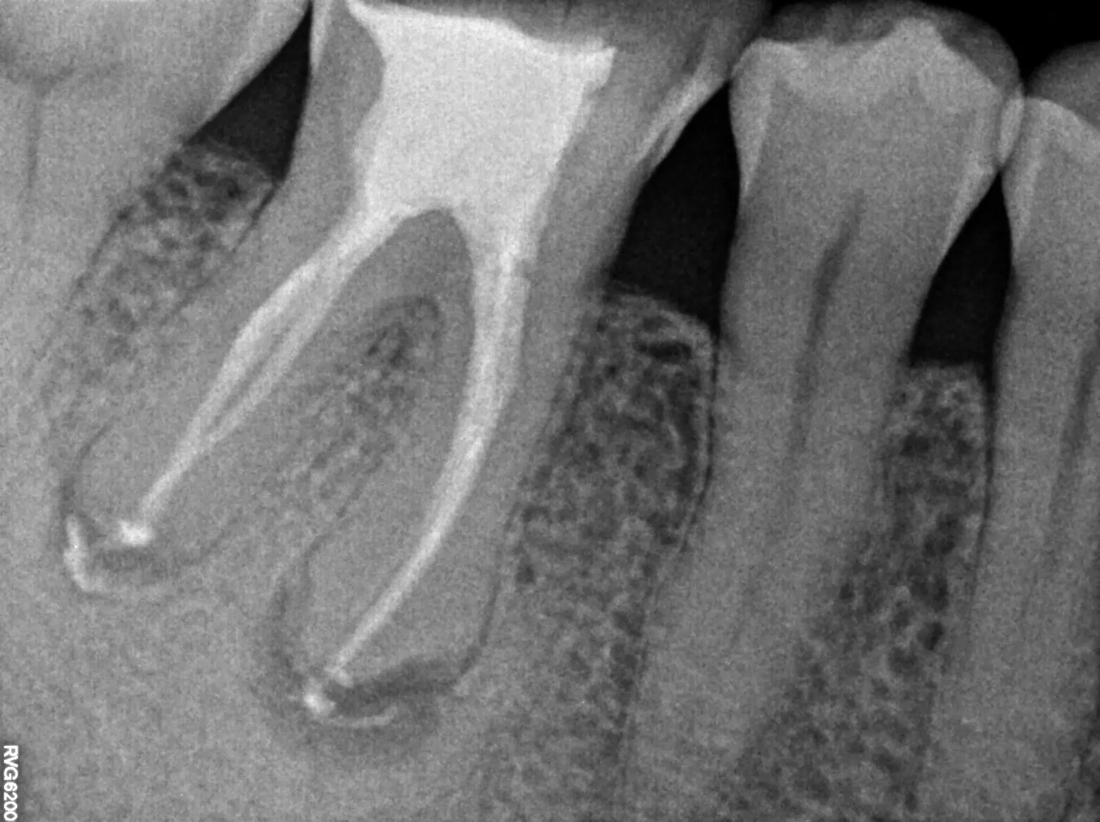
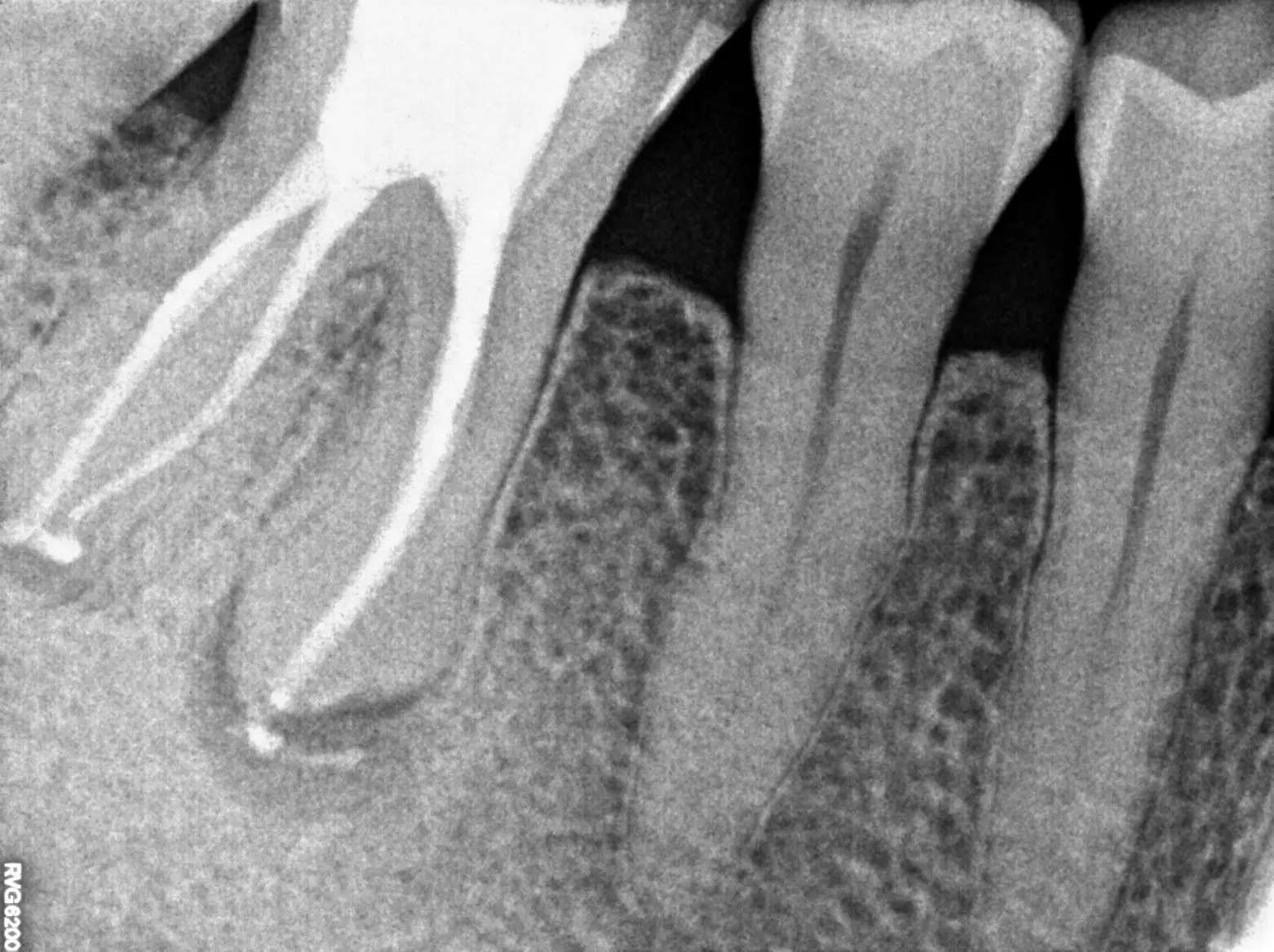
With proper care, your endodontically treated tooth will last as long as your natural teeth. Yet, pain may continue to exist or a tooth may fail to heal. Sometimes pain may occur months or years after treatment. If so, you may need an endodontic retreatment.
Some situations that may result in new problems or improper healing are
- Complicated canals were not detected during initial treatment.
- Curved or narrow canals weren’t treated.
- The restoration was not placed within the appropriate amount of time following the procedure.
- The restoration did not prevent saliva from contaminating the inside of the tooth.
New problems such as decay or a cracked or loose-fitting crown can also expose the tooth to new infection.
request an appointment

Retreatment involves the doctor reopening the tooth to gain access to the root canal filling material. The restorative material will be removed. The doctors will clean your canals and examine the problematic tooth. Once cleaned, the doctor will fill and seal the canals and place a temporary filling in the tooth.
If you have any questions about endodontic retreatment, don’t hesitate to contact us today at (630) 426-7365.